это техники используются при головной боли напряжения.
выполняйте каждый пункт по несколько минут. можно делать ежедневно в качестве профилактики, либ...
Школа здоровья по сахарному диабету. Просмотрев это урок, Вы узнаете, какие бывают осложнения сахарного диабета и как их распознать. Лекцию читает Бреди...
Сможет ли кино заменить нам театр? Мы решили разобраться с этим вопросом и понять что популярно среди молодого поколения и что за последнее время происх...
⚡️Новий фрагмент Конгресу - «КсеоМир», де експерти естетичної медицини представили свій досвід ботулінотерапіі для отримання кращих результатів у ваш...
Задать вопрос нашим специалистам: https://www.polismed.com/questions.html
Оглавление:
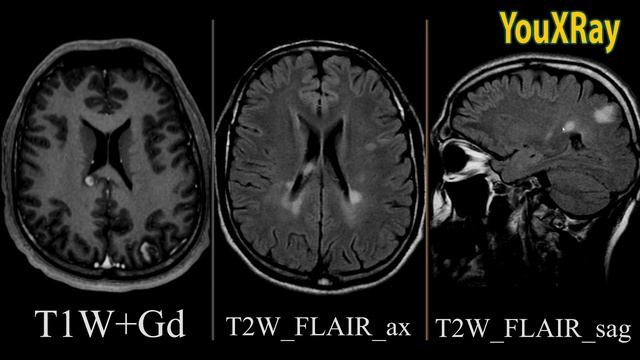
1. 0:05 Рассеянный склероз: что это за болезнь.
2. 2:10 Причины ра...
Процедура инъекции Ботулотоксина для удаления морщин льва, горизонтальных морщин на лбу и морщинок в области круговой мышцы век, выполняемая Доктором Бр...
Du willst selbst mit YouTube starten? Ich verrate dir, was du vorher wissen musst! Starte jetzt kostenlos den YouTube Masterclass Videokurs: https://www...
Мы В ИНСТАГРАММ
https://www.instagram.com/valeriska_sim/
НАША ГРУППА В ВК https://vk.com/club114289294
ЛЕДИ БАГ АВАРИЯ ПЕРВЫЕ СЛЕЗЫ в реальной жизни ...
Всем привет ! Меня зовут Кристина.
Для поддержки канала https://www.donationalerts.com/r/kpnctnha_tv
Альтернатива http://www.donationalerts.com/c/kpn...
Apple уменьшит "монобровь" вверху экрана iPhone X
(Аудио-Видео версия для людей с ограниченным слухом или зрением)
Полная версия новости доступна на htt...